Cosmetic Dentist Procedures
Whether your dental needs are a complete exam and cleaning, a full-mouth restoration, or anything in between, here at Ogden Dentists Group of Ogden, we promise to provide you with exceptional care as we enhance the natural beauty of your smile.
Below are just some of the many procedures and services we regularly provide to our patients – with a gentle touch, and stunning results. Your smile is our first priority, and we’ll give you something to smile about. If you have any questions, concerns, or would like to schedule an appointment, please contact us today. We look forward to providing you with the personal care you deserve.
- CEREC® ( Chairside Economical Restorations of Esthetic Ceramic )
- Composite Fillings
- Porcelain Crowns (Caps)
- Porcelain
- Fixed Bridges
- Porcelain Veneers
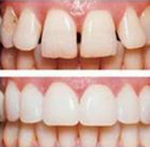
- Teeth Whitening
HERE'S WHAT OTHERS ARE SAYING ABOUT OGDEN DENTISTS GROUP IN OGDEN UTAH.........
"Thanks to the Ogden Dentists Group, I am no longer nervous about seeing a dentist. I have actually enjoyed my trips to the office". - J. Dustin



